Metastatic Invasive Breast Carcinoma: Understanding Advanced Stages

F.3cx 45 views
Metastatic Invasive Breast Carcinoma: Understanding Advanced Stages

Metastatic Invasive Breast Carcinoma: Understanding Advanced Stages

Hey everyone, let's dive deep into something really important today: **metastatic invasive breast carcinoma**. When we talk about breast cancer, this is the stage where it's really spread beyond the original tumor in the breast. It's a heavy topic, for sure, but understanding it is absolutely crucial for patients, their loved ones, and anyone looking to support the fight against this disease. So, what exactly does metastatic mean in this context? It means the cancer cells have broken away from the primary tumor and traveled through the bloodstream or lymphatic system to other parts of the body. These new sites are called metastases or secondary tumors. Invasive simply means the cancer has broken through the wall of the milk duct or lobule where it started and has begun to grow into the surrounding breast tissue. When these two terms come together, metastatic invasive breast carcinoma describes invasive breast cancer that has spread to distant organs. This is also commonly referred to as Stage IV breast cancer, the most advanced stage. The journey of breast cancer from its initial detection to metastasis is complex, and understanding the mechanisms behind it, the common sites of spread, and the available treatment options is paramount. It’s not just about fighting a tumor in one place anymore; it's about managing a systemic disease. This article aims to shed light on this advanced stage, offering clarity and valuable information for those navigating this challenging path. We’ll explore the different ways this disease can progress, where it typically travels, and what medical science is doing to combat it. Remember, knowledge is power, and being informed can make a significant difference in how one approaches treatment and care.

Table of Contents

    What is Metastatic Invasive Breast Carcinoma?

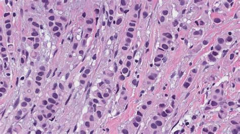
    Alright guys, let's break down what metastatic invasive breast carcinoma truly means. So, you've heard about invasive breast cancer, right? That's when the cancer cells have gone rogue, escaping the confines of the milk ducts or lobules where they originated and started invading the surrounding breast tissue. Think of it like a tiny, unwelcome guest that has decided to break down the walls and explore the neighborhood. But the real kicker, the part that elevates it to metastatic , is when these adventurous, and frankly dangerous, cells decide to go on a world tour of your body. They detach from the primary tumor, hop onto the highway of your bloodstream or lymphatic system, and travel to distant lands – organs like the bones, lungs, liver, or brain. These new colonies of cancer cells are called metastases. So, metastatic invasive breast carcinoma is essentially invasive breast cancer that has spread to these other parts of the body. It's also known as Stage IV breast cancer, and it’s the most advanced stage. It's important to understand that even when the cancer spreads, the metastatic cells are still considered breast cancer cells. For example, if breast cancer spreads to the lungs, it's called metastatic breast cancer in the lungs, not lung cancer. This distinction is crucial because the treatment is usually based on the original cancer type. The development of metastasis is a complex biological process. It involves several steps: primary tumor growth, invasion into surrounding tissues, intravasation (entering blood or lymph vessels), survival in circulation, extravasation (exiting vessels at a distant site), and finally, the formation of a new tumor, known as a metastatic lesion. Each step presents hurdles for the cancer cells, but when they succeed, it leads to the challenging reality of Stage IV disease. Understanding this process helps us appreciate why treatments often need to be systemic, targeting cancer cells wherever they might be hiding.

    How Does Breast Cancer Become Metastatic?

    So, how does this happen, you ask? The journey of metastatic invasive breast carcinoma isn't an overnight event; it's a gradual, albeit insidious, progression. It all starts with the primary tumor in the breast. As this tumor grows, some of its cells can develop the ability to break away. This is often facilitated by changes in the cancer cells themselves, making them more mobile and capable of degrading the surrounding tissue matrix. Think of them as developing tiny little tools to cut through the barriers. Once these cells break free, they need a way to travel. This is where the body's own transportation systems come into play: the bloodstream and the lymphatic system . The lymphatic system, a network of vessels and nodes that helps filter waste and fight infection, can be a particularly easy route for cancer cells to spread. They can enter tiny lymphatic vessels in the breast and travel to nearby lymph nodes, often those under the arm (axillary lymph nodes). If they can get past these initial filters, they can travel further through the lymphatic system, eventually reaching the bloodstream. Alternatively, cancer cells can directly invade nearby blood vessels. Once inside the bloodstream or lymphatic vessels – a process called intravasation – these cells are like tiny travelers on a highway. The journey isn't easy, though. Many of these cells will be destroyed by the body's immune system or simply fail to survive the harsh conditions of circulation. However, some resilient cells manage to survive and eventually exit the bloodstream or lymph vessels at a distant site. This exit process is called extravasation . Once they've arrived at a new location, these cells must adapt and start growing again, forming a secondary tumor. This entire cascade of events – invasion, intravasation, survival, extravasation, and colonization – is what leads to the dreaded metastatic invasive breast carcinoma . Understanding these steps is vital because it helps us target therapies at different points in this process, whether it's preventing cells from breaking away, stopping them from entering the circulation, or attacking them once they've reached new sites.

    Common Sites of Metastasis

    When breast cancer becomes metastatic invasive breast carcinoma , it doesn't just spread randomly. While it can technically travel anywhere, there are certain common destinations that these rogue cells tend to favor. Knowing these common sites is super helpful for both doctors in monitoring and patients in understanding potential symptoms. The most frequent places breast cancer likes to set up shop are the bones , lungs , liver , and brain . Let's talk about each of these a bit. Bone metastasis is incredibly common. Cancer cells that spread to the bones can cause pain, fractures (pathologic fractures, meaning they break from minimal or no trauma), and problems with calcium levels in the blood, which can affect kidney function. Sometimes, bone metastases can be asymptomatic, picked up only on scans. It's a significant cause of morbidity for patients with advanced breast cancer. Next up, we have the lungs . When breast cancer spreads to the lungs, it can cause symptoms like persistent coughing, shortness of breath, and chest pain. These lung metastases can interfere with the lungs' ability to function properly. Then there's the liver . Liver metastases can lead to symptoms such as jaundice (yellowing of the skin and eyes), abdominal pain or swelling, nausea, and loss of appetite. The liver plays so many vital roles, so its function can be significantly impacted. Finally, brain metastasis , while perhaps less common than bone or lung spread, is a serious concern. Symptoms can vary widely depending on the location and size of the brain metastases and may include headaches, seizures, changes in vision or speech, and neurological deficits like weakness or numbness in parts of the body. It's crucial to remember that not everyone with metastatic breast cancer will develop metastases in all these sites, or even any of them. The pattern of spread can depend on the specific characteristics of the cancer, like its hormone receptor status (ER/PR positive or negative) and HER2 status, as well as individual patient factors. Regular monitoring and diagnostic imaging play a key role in detecting metastases early, even before symptoms arise. This early detection allows for timely intervention and management, which is absolutely vital in controlling the disease and maintaining quality of life for patients facing metastatic invasive breast carcinoma .

    Treatment Strategies for Metastatic Invasive Breast Carcinoma

    Dealing with metastatic invasive breast carcinoma is a different ballgame than treating early-stage breast cancer. The primary goal often shifts from complete eradication of the disease to managing it as a chronic condition, controlling its growth, alleviating symptoms, and improving the patient's quality of life. It's about living well, for as long as possible. Treatment plans are highly individualized, taking into account the cancer's specific characteristics (like hormone receptor status, HER2 status, and genetic mutations), the location and extent of metastases, the patient's overall health, and previous treatments. So, what are the main tools in our arsenal? Systemic therapies are the cornerstone of treatment for metastatic breast cancer because the cancer is no longer confined to one area. These therapies circulate throughout the body to reach cancer cells wherever they may be. These include: Hormone therapy (also called endocrine therapy) is a key option for cancers that are hormone receptor-positive (ER-positive and/or PR-positive). These therapies work by blocking the hormones that fuel cancer cell growth or by lowering the level of these hormones in the body. Examples include tamoxifen, aromatase inhibitors (like anastrozole, letrozole, exemestane), and fulvestrant. Targeted therapy drugs are designed to target specific molecules or pathways involved in cancer growth. For HER2-positive breast cancer, anti-HER2 drugs like trastuzumab (Herceptin), pertuzumab (Perjeta), and T-DM1 (Kadcyla) are highly effective. Other targeted therapies might focus on specific genetic mutations found in the cancer cells. Chemotherapy is still a very important treatment option, especially for aggressive cancers or when hormone therapy or targeted therapy isn't working or isn't an option. Chemotherapy drugs kill fast-growing cells, including cancer cells, throughout the body. There are many different chemotherapy agents and combinations available. Immunotherapy is a newer, exciting area that harnesses the patient's own immune system to fight cancer. It's particularly relevant for certain types of metastatic breast cancer, like triple-negative breast cancer. Beyond systemic treatments, other strategies are employed: Palliative care is essential at all stages of metastatic breast cancer. It focuses on relieving symptoms like pain, nausea, and fatigue, and providing emotional and psychological support for the patient and their family. It's not just about end-of-life care; it's about improving life right now. Radiation therapy may be used to target specific areas of metastasis, such as to relieve bone pain or shrink tumors pressing on nerves. Surgery is less common as a primary treatment for metastatic disease but might be used in select cases to remove isolated metastases or manage complications. Clinical trials also offer access to novel treatments and are a vital option for many patients. The approach is often multi-faceted, combining different therapies to achieve the best possible outcome for individuals with metastatic invasive breast carcinoma .

    Living with Metastatic Invasive Breast Cancer

    Navigating life with metastatic invasive breast carcinoma , or Stage IV breast cancer, presents a unique set of challenges and requires a strong focus on quality of life. It's a journey that involves not just medical treatment but also profound emotional, psychological, and social adjustments. The diagnosis itself can be overwhelming, bringing with it fear, uncertainty, and a need to re-evaluate life's priorities. But remember, guys, you are not alone in this. There is a vast community of support available, from medical teams and support groups to family and friends. A critical aspect of living well with metastatic breast cancer is maintaining the best possible quality of life . This involves proactive symptom management. Pain, fatigue, nausea, and emotional distress are common, but effective strategies and medications can help control these symptoms, allowing individuals to engage more fully in their daily lives. Open communication with your healthcare team about any symptoms or side effects you're experiencing is key. Emotional and psychological support is just as important as the medical treatment. Dealing with a chronic, life-limiting illness can take a toll on mental health. Therapies like counseling, support groups, mindfulness, and stress-reduction techniques can be incredibly beneficial. Connecting with others who understand your experience can provide validation, reduce feelings of isolation, and offer practical coping strategies. Many organizations offer specialized support for metastatic breast cancer patients. Maintaining a sense of normalcy and purpose is also vital. This might mean continuing with work if possible, pursuing hobbies, spending quality time with loved ones, or engaging in activities that bring joy and fulfillment. It's about finding a balance between managing the illness and living a meaningful life. Nutrition and exercise , tailored to your individual health status and treatment plan, can also play a supportive role in maintaining energy levels and overall well-being. For partners and caregivers, understanding the disease and offering consistent support is crucial. They too can benefit from support resources. While metastatic invasive breast carcinoma represents an advanced stage of the disease, advancements in treatment continue to improve outcomes and extend survival. The focus remains on personalized care, managing the disease effectively, and empowering individuals to live their lives to the fullest, despite the diagnosis. Every day is a chance to live, and with the right support and care, that life can be rich and meaningful.