Overlapping Breast Lesions: Understanding The Nuances

F.3cx 27 views
Overlapping Breast Lesions: Understanding The Nuances

Overlapping Breast Lesions: Understanding the Nuances

Hey everyone, let’s dive into something super important when we talk about breast health: overlapping lesions of the breast . Now, this term might sound a bit technical, but understanding it is crucial for both patients and healthcare professionals. Essentially, an overlapping lesion of the breast refers to a situation where two or more distinct breast abnormalities appear to be in the same location or superimposed on each other when viewed through imaging tests like mammography or ultrasound. This can make diagnosis tricky, guys, because it’s not always clear if you’re looking at one complex issue or several separate ones. The key challenge here is differentiation – figuring out what’s truly going on. Are these separate benign cysts? Is one a benign cyst and the other a suspicious mass? Or could it be two separate cancerous lesions? The way these lesions overlap can significantly impact how they are perceived and subsequently managed. Radiologists need to be extra vigilant, employing advanced imaging techniques and sometimes even needing to correlate findings with physical exams and patient history to get the full picture. This complexity underscores the importance of regular screenings and having experienced professionals interpret your results. We’re going to break down why this happens, what it means for diagnosis, and how doctors work to untangle these overlapping mysteries to ensure the best possible care for breast health.

Why Do Breast Lesions Overlap?

So, why exactly do these tricky overlapping breast lesions happen in the first place? It boils down to a few key factors, mostly related to the anatomy of the breast and the limitations of imaging technology. Think of the breast as a complex, dense structure made up of glandular tissue, fat, and connective tissue. When abnormalities, like masses or cysts, develop within this dense environment, they can naturally occur close to each other. If they are adjacent or even touching, on a 2D mammogram, they can appear to be one larger, blended area. It’s like looking at a shadow play – sometimes it’s hard to tell where one shadow ends and another begins. Furthermore, the density of breast tissue plays a huge role. Women with denser breasts often have more glandular tissue, which can obscure smaller lesions or make it harder to distinguish overlapping ones. Imagine trying to spot two small pebbles stacked on top of each other when they’re both submerged in thick mud; it’s a real challenge! Ultrasound, while great for differentiating fluid-filled cysts from solid masses, can also sometimes struggle with overlapping structures, especially if they are very close together. The sound waves might not always pick up the distinct boundaries between them. Sometimes, what looks like overlap on an image might actually be a single lesion with an irregular shape or a complex internal structure that mimics multiple lesions. Other times, it could be a mass that is partially obscured by overlying normal tissue or a calcification. The radiologist’s job is to meticulously analyze the image, looking for subtle clues like the margin, shape, and internal characteristics of each perceived lesion. They might use different views on a mammogram, compare with previous exams, or call for ultrasound or MRI to get a clearer understanding. It’s all about peeling back the layers, metaphorically speaking, to accurately identify and characterize each component of the breast tissue, especially when things look a bit jumbled up. This meticulous process is vital to avoid misdiagnosis and ensure appropriate treatment plans are put in place for any identified overlapping breast lesions .

Diagnostic Challenges of Overlapping Lesions

Dealing with overlapping breast lesions presents some unique and significant diagnostic challenges, guys. The primary hurdle is accuracy. When two or more abnormalities are superimposed, it becomes difficult for even the most skilled radiologist to definitively determine if they are separate entities or part of a single complex one. This ambiguity can lead to several problems. First, it can underestimate or overestimate the extent of disease . If two separate cancerous tumors are overlapping, a radiologist might incorrectly assess them as one, potentially leading to an incomplete surgical plan. Conversely, if a benign cyst is overlapping with a suspicious mass, the benign lesion might distract from the characteristics of the malignant one, or the combined appearance might lead to unnecessary anxiety and further invasive procedures for a condition that might have been simpler. Another challenge is characterizing the lesions . Each lesion needs to be assessed for its specific features – is it round, oval, or irregular? Are its margins smooth or spiculated? Is it solid or cystic? When they overlap, these individual characteristics can become blurred, making it harder to apply standard diagnostic criteria. This is where advanced imaging techniques come into play. For instance, magnetic resonance imaging (MRI) can be incredibly useful because it provides more detailed images and can often better delineate separate structures within the breast. However, MRI is not always readily available or suitable for every patient. Another common approach is ultrasound-guided biopsy . If imaging is inconclusive, a biopsy is often the next step. But even with a biopsy, if the needle samples the overlapping area without clearly isolating each distinct lesion, the results might not be fully representative of the underlying conditions. This can lead to needing repeat biopsies or more complex diagnostic pathways. The goal is always to achieve the highest level of diagnostic certainty possible to ensure that treatment is both effective and appropriately tailored to the patient’s specific situation, avoiding both under-treatment and overtreatment stemming from the complexity of overlapping breast lesions .

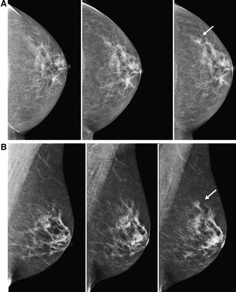
Imaging Techniques for Overlapping Lesions

To tackle the complexities of overlapping breast lesions , radiologists rely on a sophisticated arsenal of imaging techniques. The first line of defense is often mammography , the standard screening tool. While it provides a 2D view, different projections (like craniocaudal and mediolateral oblique) can help shift the breast tissue and potentially separate overlapping structures. However, as we’ve discussed, dense tissue and true overlap can still pose challenges. This is where digital breast tomosynthesis (DBT) , often called 3D mammography, shines. DBT takes multiple low-dose X-ray images from different angles and reconstructs them into thin slices of the breast. This slicing effect is revolutionary because it allows the radiologist to scroll through the breast tissue, layer by layer, significantly improving the ability to distinguish overlapping lesions and detect abnormalities that might be hidden in a standard 2D mammogram. It’s like being able to see individual pages in a book rather than just a flat cover. Breast ultrasound is another critical tool. It uses sound waves to create images and is excellent at differentiating solid masses from fluid-filled cysts. When lesions overlap on a mammogram, ultrasound can often provide a clearer picture of their individual characteristics, especially if one is cystic and the other solid. It can also help guide biopsies with great precision. For particularly challenging cases, or when mammography and ultrasound are inconclusive, Magnetic Resonance Imaging (MRI) of the breast is often employed. MRI uses magnetic fields and radio waves to generate highly detailed images. It offers superior soft-tissue contrast and can often visualize and delineate separate lesions, even when they are closely situated. Contrast-enhanced MRI is particularly valuable as it can highlight areas of abnormal blood supply, which is common in malignant tumors. The choice of imaging technique often depends on the initial findings, the patient’s risk factors, breast density, and the specific questions that need to be answered. Combining the strengths of these different modalities is key to accurately diagnosing and managing overlapping breast lesions , ensuring that no abnormality is missed and that patients receive the most appropriate care. These advanced techniques are vital for untangling these complex presentations and providing peace of mind.

Management and Treatment Strategies

Once overlapping breast lesions have been carefully evaluated, the management and treatment strategies are tailored to the specific diagnoses of each identified abnormality. It’s not a one-size-fits-all approach, guys. The crucial first step, after imaging has been performed and perhaps biopsies taken, is to determine the nature of each lesion . Are they benign, like fibroadenomas, cysts, or benign calcifications? Or are they malignant, indicating breast cancer? If the lesions are determined to be benign, the management might involve simply regular monitoring . This could mean follow-up imaging at specific intervals – perhaps every six months or annually – to ensure the lesions remain stable and don’t change in size or appearance. Sometimes, if a benign lesion is causing symptoms like pain or discomfort, or if it’s rapidly growing, a doctor might recommend its removal through excision biopsy . Now, if one or more of the overlapping breast lesions are found to be malignant, the treatment pathway becomes more complex and follows established cancer protocols. This typically involves a multidisciplinary team, including surgeons, oncologists, and radiologists, collaborating on the best course of action. Treatment for breast cancer can include surgery to remove the cancerous tissue. The extent of surgery – whether it’s a lumpectomy (removing just the tumor and a margin of healthy tissue) or a mastectomy (removing the entire breast) – will depend on the size, type, and location of the cancer, as well as whether there are multiple tumors involved. Radiation therapy may be used after surgery to kill any remaining cancer cells. Chemotherapy or hormone therapy might also be part of the treatment plan, depending on the type and stage of the cancer, to target cancer cells throughout the body or block hormones that fuel cancer growth. The presence of overlapping lesions, especially if they are multiple malignant ones, can sometimes influence surgical decisions, potentially requiring more extensive resection. The key takeaway is that even when imaging initially suggests complexity due to overlap, a thorough diagnostic process, often involving multiple imaging modalities and biopsies, leads to accurate diagnoses, allowing for precise and effective management plans designed to achieve the best possible outcomes for patients facing overlapping breast lesions .

The Importance of Follow-Up and Patient Communication

Finally, let’s talk about something absolutely vital when dealing with overlapping breast lesions : the importance of follow-up and patient communication . Even after a diagnosis is made and a treatment plan is in place, the journey isn’t over. For benign overlapping lesions, regular follow-up appointments and imaging are essential. This isn’t just busywork; it’s about vigilance. Your doctor needs to ensure that these benign findings remain stable and don’t develop into something more concerning over time. Sometimes, breast tissue can change, and what was clearly benign initially might warrant a closer look later. Consistent monitoring provides that safety net. On the other hand, if the diagnosis involved malignancy, follow-up becomes even more critical. Post-treatment monitoring involves regular check-ups and scans to detect any recurrence of the cancer or the development of new cancers. Early detection of recurrence is key to successful retreatment. Now, beyond the clinical aspects, clear and open communication between healthcare providers and patients is paramount. When you’re told you have overlapping lesions, it can sound alarming. It’s crucial for your doctor to explain exactly what that means in your specific case, using language you can understand. They should clarify what was seen on the imaging, what the biopsy results indicate, and what the proposed management plan entails. Patients should feel empowered to ask questions – lots of questions! Don’t hesitate to ask about the specifics of your condition, the rationale behind the recommended tests or treatments, and what to expect during follow-up. Understanding your diagnosis and treatment plan not only reduces anxiety but also helps you become an active participant in your own healthcare. If you feel something isn’t clear, or if you have lingering concerns, seeking a second opinion is always a valid option. Ultimately, a strong partnership built on trust and clear communication ensures that you receive the best possible care and ongoing support throughout your breast health journey, especially when navigating the complexities of overlapping breast lesions . Your active involvement and understanding are just as important as the medical expertise involved.