Pneumothorax Vs. Empyema: Spotting The Differences

F.3cx 135 views
Pneumothorax Vs. Empyema: Spotting The Differences

Pneumothorax vs. Empyema: Spotting the Differences

Hey guys, ever feel like medical terms are just a jumbled mess? Today, we’re diving deep into two conditions that sound kinda similar but are totally different beasts: pneumothorax and empyema . We’ll break down what they are, why they happen, and most importantly, how to tell them apart. Getting a handle on these differences is super crucial, especially if you’re a healthcare pro, a student, or just someone who likes to be in the know about your health. Let’s get this figured out!

What the Heck is Pneumothorax?

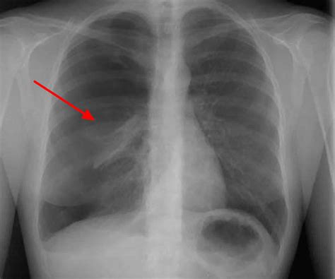
Alright, let’s kick things off with pneumothorax . Basically, guys, it’s when air gets into the space between your lung and your chest wall. You know that space? It’s called the pleural space, and normally it’s a pretty tight seal. When air leaks into it, it pushes on the outside of your lung, making it collapse, either partially or totally. Think of it like a balloon deflating because it’s been poked. This condition can happen for a few reasons. Sometimes, it’s spontaneous, meaning it just happens without any obvious cause – this is more common in tall, thin young men, kinda weird but true! Other times, it’s caused by an injury, like a direct blow to the chest, a car accident, or even during certain medical procedures like inserting a central line or a biopsy. Even severe coughing fits can sometimes do it. The main symptom you’ll notice is a sudden, sharp chest pain that often gets worse when you take a deep breath or cough. You might also experience shortness of breath , which can range from mild to severe depending on how much your lung has collapsed. Some folks also feel a tightness in their chest. The diagnosis usually involves a physical exam where a doctor might hear decreased breath sounds on the affected side, and then definitely a chest X-ray , which is the gold standard for spotting that tell-tale collapsed lung. Treatment varies; small, spontaneous pneumothoraces might resolve on their own, while larger ones or those causing significant symptoms usually require a chest tube to remove the air and re-inflate the lung. It’s all about getting that pressure off the lung so it can do its job again.

Unpacking Empyema: It’s All About Pus!

Now, let’s switch gears and talk about empyema . This one is a bit more specific and, frankly, a bit nastier. Empyema is essentially a collection of pus in that same pleural space we talked about – the space between your lung and chest wall. It’s a serious type of pleural effusion , which is just a fancy term for fluid buildup in that space. But empyema? That fluid is infected and is full of pus. So, how does this happen? Usually, it’s a complication of another infection, most commonly pneumonia that hasn’t been fully treated or has become severe. Bacteria can spread from the infected lung tissue into the pleural space, causing inflammation and pus formation. Other causes can include chest surgery, lung abscesses, or even trauma to the chest that allows bacteria to enter. The symptoms of empyema can develop more gradually than a pneumothorax, or they can come on quite suddenly. You’ll likely experience persistent fever and chills , which are classic signs of infection. Chest pain is also a big one, and it often feels like a dull ache or a sharp pain, especially when you breathe deeply or cough. Shortness of breath is almost always present, as the pus buildup takes up space and compresses the lung. You might also feel generally unwell, tired, and weak – that whole ‘systemic infection’ vibe. A persistent, productive cough , sometimes with greenish or rust-colored sputum, can also be a clue. Diagnosing empyema often starts with your medical history and symptoms, followed by a physical exam. Doctors might hear diminished breath sounds or even crackles. Imaging like a chest X-ray or a CT scan is crucial to pinpoint the fluid collection. However, the definitive diagnosis usually requires a procedure called a thoracentesis , where a needle is inserted into the pleural space to withdraw fluid. If that fluid is thick, cloudy, and full of pus, you’ve got empyema, my friends. Treatment is aggressive and typically involves draining the pus – often with a chest tube – and a course of antibiotics to fight the infection. In some stubborn cases, surgery might be needed to clean out the space.

Key Differences: Pneumothorax vs. Empyema

Okay, guys, let’s get down to the nitty-gritty and really hammer home the differences between pneumothorax and empyema . Even though both conditions affect the pleural space and can cause chest pain and shortness of breath, their root causes and what’s actually in that space are completely different. Pneumothorax is all about air in the pleural space. It’s an abnormal collection of air that leads to lung collapse. Think air leak . The primary culprit isn’t usually an infection, but rather trauma, spontaneous rupture of a small air sac (bleb), or medical procedures. The hallmark symptom is often sudden, sharp chest pain and acute shortness of breath. On imaging, you’ll see a lung that’s pulled away from the chest wall due to the presence of air. Treatment focuses on removing that air to let the lung re-expand.

On the other hand, empyema is all about pus in the pleural space. It’s an infection that has led to a collection of infected fluid (pus) in that space. Think infection and pus . It’s typically a complication of pneumonia or other chest infections. While chest pain and shortness of breath are common, you’ll also usually see signs of systemic infection like fever, chills, and malaise . Imaging might show fluid, but the key diagnostic step is sampling that fluid via thoracentesis, which will reveal pus. Treatment is focused on eradicating the infection with antibiotics and draining the pus, which is often much more involved than just removing air.

So, to recap the core distinctions:

  • Cause: Pneumothorax = Air leak; Empyema = Bacterial infection leading to pus.
  • Contents of Pleural Space: Pneumothorax = Air; Empyema = Pus.
  • Associated Symptoms: Pneumothorax = Sudden pain, SOB; Empyema = Fever, chills, persistent pain, SOB, malaise.
  • Diagnosis: Pneumothorax = X-ray showing collapsed lung; Empyema = Thoracentesis revealing pus + imaging.
  • Treatment Focus: Pneumothorax = Air removal; Empyema = Antibiotics + Pus drainage.

Understanding these differences is absolutely critical for proper diagnosis and management. Misidentifying one for the other could lead to delayed or incorrect treatment, which, in serious cases, can have significant consequences. For instance, treating a pneumothorax with antibiotics wouldn’t help, and failing to drain empyema promptly could allow the infection to spread or cause permanent lung damage.

When Lungs Have Trouble: Causes and Risk Factors

Let’s dive a little deeper into why these conditions happen, shall we? Understanding the causes and who’s more likely to get them can be a game-changer. For pneumothorax , we’ve touched on spontaneous ones, which often hit young, tall, thin males between 20 and 30 years old. It’s thought that the rapid growth in adolescence might lead to these weak spots on the lung surface that can rupture. Smoking is a massive risk factor, guys, significantly increasing the chances of spontaneous pneumothorax and making recurrences more likely. If you’ve had a pneumothorax before, you’re also at higher risk of it happening again. Iatrogenic pneumothorax – that’s the medical jargon for pneumothorax caused by medical procedures – can happen during things like lung biopsies, central venous catheter insertion, mechanical ventilation , or even during cardiopulmonary resuscitation (CPR) . Traumatic pneumothorax is usually pretty obvious; blunt or penetrating chest trauma , like from car accidents or falls, can tear the lung or force air into the pleural space. Conditions that weaken the lung tissue, like COPD (Chronic Obstructive Pulmonary Disease), asthma, cystic fibrosis, or lung cancer , can also increase the risk of pneumothorax, particularly by forming blebs or bullae (air-filled sacs) that are prone to rupture.

Now, shifting focus to empyema , the story is usually one of infection. The most common precursor is pneumonia , especially bacterial pneumonia . If that pneumonia isn’t treated effectively or if it’s particularly aggressive, bacteria can cross the pleural barrier. People with weakened immune systems are at a higher risk – think individuals with HIV/AIDS, diabetes, cancer patients undergoing chemotherapy , or those taking immunosuppressant drugs for organ transplants or autoimmune diseases. Alcoholism is also linked to a higher risk of empyema, possibly due to a weakened immune response and increased susceptibility to infections. Aspiration , where foreign material like stomach contents or food is inhaled into the lungs, can lead to aspiration pneumonia and subsequently empyema. Lung abscesses (pus-filled cavities in the lung) can rupture into the pleural space, causing empyema. Chest surgery or trauma that allows bacteria to enter the pleural space, or even infections spreading from adjacent areas like the esophagus or diaphragm, can also lead to empyema. It’s crucial to remember that empyema is often a complication , meaning it arises after another medical issue, highlighting the importance of thorough treatment of initial infections.

Symptoms: How Do You Know?

Spotting the symptoms is your first line of defense, guys. For pneumothorax , the classic presentation is sudden, sharp chest pain on one side. This pain often intensifies with deep breaths, coughing, or sneezing. You might feel like you can’t catch your breath – that’s the shortness of breath or dyspnea . Some people describe a tightness in the chest . If it’s a large pneumothorax, the shortness of breath can become quite severe, leading to rapid breathing and a feeling of panic. You might notice that one side of your chest doesn’t move as much as the other when you breathe. In some cases, especially with smaller spontaneous pneumothoraces, symptoms might be milder and could even resolve on their own. However, never ignore sudden chest pain or difficulty breathing – always get it checked out!

Empyema symptoms often present with a bit more of a systemic ‘sick’ feeling, though they can also include sharp chest pain and shortness of breath. The fever is a really key differentiator here – it’s often high and may be accompanied by chills and sweats , indicating a significant infection. The chest pain in empyema can be more persistent and dull, or it can be sharp, worsening with breathing or coughing. The shortness of breath develops as the pus builds up and compresses the lung. You might also experience fatigue, weakness, loss of appetite, and unexplained weight loss . A persistent cough that produces phlegm (sputum) is common, and this phlegm can sometimes be thick, greenish, or even rust-colored if there’s blood involved. Sometimes, patients with empyema might have symptoms related to the underlying cause, like lingering cough and fever from pneumonia. It’s that combination of respiratory distress plus clear signs of infection (fever, chills) that often points towards empyema.

Diagnosis: Getting to the Bottom of It

So, how do doctors figure out if it’s air or pus causing the trouble? For pneumothorax , the diagnosis is usually pretty straightforward once symptoms arise. A physical examination is the first step. The doctor will listen to your lungs with a stethoscope and might notice decreased or absent breath sounds on the affected side. They’ll also check your vital signs, like heart rate and oxygen levels. The absolute star of the show for diagnosing pneumothorax is the chest X-ray . It clearly shows the collapsed lung and the air in the pleural space. In some cases, especially if the diagnosis isn’t clear on X-ray or if there’s suspicion of other lung issues, a CT scan might be used. It provides a more detailed view of the chest cavity. For diagnosis, we are looking for that distinct line of the collapsed lung margin and the absence of lung markings beyond that line, indicating air.

Empyema diagnosis often requires a bit more investigation, as it’s a bit more complex. Again, a physical exam is crucial. The doctor might hear diminished breath sounds , crackles, or even a pleural friction rub (a grating sound indicating inflamed pleural layers). Chest X-rays can show a pleural effusion (fluid buildup), but it can sometimes be hard to distinguish between simple fluid and pus, or to determine the exact size and location, especially if the fluid is loculated (walled off). This is where a CT scan becomes incredibly valuable. It gives a much clearer picture of the fluid collection, its characteristics, and can help guide drainage procedures. However, the definitive diagnosis for empyema is usually made by analyzing the fluid obtained from the pleural space. This is done through a procedure called thoracentesis , where a needle is inserted into the pleural space to aspirate fluid. If the fluid is cloudy, thick, greenish, and contains pus cells or bacteria , it confirms empyema. Laboratory analysis of this fluid for cell counts, protein, LDH, pH, glucose, and Gram stain and culture is essential to guide antibiotic therapy and understand the causative organism. Sometimes, if drainage is difficult or loculations are present, an ultrasound or CT-guided procedure might be necessary.

Treatment: Clearing the Air or Fighting the Infection?

Treatment strategies differ significantly based on whether you’re dealing with pneumothorax or empyema , and it all comes down to what needs to be removed or treated – air or pus. For pneumothorax , the goal is to remove the air from the pleural space and allow the lung to re-expand. For small, asymptomatic spontaneous pneumothoraces, observation might be all that’s needed, as the air can be absorbed by the body over time. However, if there’s significant lung collapse, pain, or shortness of breath, a needle aspiration (removing air with a needle) or insertion of a chest tube (tube thoracostomy) is usually required. The chest tube is connected to a one-way valve system (like a Heimlich valve) or suction to continuously drain air and keep the lung inflated. For recurrent pneumothoraces or those associated with underlying lung disease, a procedure called pleurodesis might be performed. This involves irritating the pleural lining to cause it to stick together, obliterating the pleural space and preventing future air leaks. It can be done chemically (instilling an irritant like talc) or surgically.

Empyema treatment is focused on eliminating the infection and draining the accumulated pus. This is almost always more involved than treating a pneumothorax. Antibiotics are a cornerstone of treatment, usually administered intravenously, and need to be chosen based on the likely or confirmed bacteria (guided by Gram stain and culture of the pleural fluid). Drainage of the pus is critical. This is typically done using a chest tube (tube thoracostomy) , similar to pneumothorax, but often larger tubes are needed for thicker pus. In some cases, especially with complicated or loculated empyema (where the pus is trapped in pockets), more advanced techniques like video-assisted thoracoscopic surgery (VATS) or even open thoracotomy (major chest surgery) might be necessary to thoroughly wash out and debride (clean) the pleural space. The process can be lengthy, requiring prolonged antibiotic courses and sometimes multiple drainage procedures. The key is getting that infected material out and controlling the bacterial invasion. It’s a serious infection that needs prompt and aggressive management.

Prognosis: What’s the Outlook?

When it comes to the outlook, or prognosis , for pneumothorax vs. empyema , there are definitely differences. Generally speaking, pneumothorax has a good prognosis, especially for the spontaneous type in otherwise healthy individuals. Once the air is removed and the lung re-expands, most people recover fully without long-term complications. The main concern is the risk of recurrence , which is higher in smokers and those who have had it before. Steps like pleurodesis can significantly reduce this risk. The severity of the initial event and the promptness of treatment play a big role, but generally, it’s a condition that resolves well with appropriate care.

Empyema , on the other hand, is considered a more serious condition and carries a more guarded prognosis. Because it’s a sign of significant infection, there’s a higher risk of complications, including sepsis (a life-threatening infection spreading through the body), lung damage (fibrosis or scarring), and chronic pain. The recovery can be much longer and more difficult, often involving prolonged hospital stays, extensive antibiotic therapy, and potentially requiring further procedures or surgery. Mortality rates are higher with empyema compared to pneumothorax, particularly in elderly patients, those with serious underlying health conditions, or if treatment is delayed. However, with prompt diagnosis, aggressive antibiotic treatment, and effective drainage of the pus, many patients can make a full recovery, although some degree of lung scarring might persist. The success heavily relies on the patient’s overall health status, the virulence of the bacteria, and the timeliness and effectiveness of the medical intervention.

Final Thoughts

So there you have it, guys! We’ve dissected pneumothorax and empyema , two distinct conditions that can affect the pleural space. Remember, pneumothorax is about air causing a lung collapse, often sudden and sharp, while empyema is about pus from an infection, usually accompanied by fever and chills. Knowing the difference in symptoms, causes, and especially treatment is key. If you or someone you know experiences sudden chest pain or severe shortness of breath, don’t wait – get medical help immediately! Early diagnosis and the right treatment are absolutely vital for a good outcome with either condition. Stay informed, stay healthy!